All-on-4 implantátum esettanulmány a VIII. kerületi Royal Dent fogászati klinikán

A budapesti Royal Dent klinikán egy páciens All-on-4 implantációval esztétikus, rögzített fogsort kapott, minimális fájdalommal.

Fogászati rendelőnkben járt páciensünk esete jól szemlélteti, hogy teljes mértékben visszanyerhető a mosoly esztétikája és a fogak funkciója az All-on-4 implantátum technológia segítségével. Esettanulmányunkban egy olyan páciens kezelését mutatjuk be, akinek állcsontjában mindössze néhány, menthetetlen fog maradt. Az eset végére kiderül, miként kapott fix fogsort páciensünk, és hogyan jutott el a végleges, kerámia fogpótlásig – mindezt minimális fájdalommal, a legmodernebb eljárásokkal.

A Royal Dent 8. kerületi rendelőjében (Corvin negyed, Üllői út 54.) kiemelkedő technológiai háttér és szakértelem biztosítja, hogy a hasonló esetekben is a lehető legjobb eredményt érjük el.

Az All-on-4 kezelés lépései

Kiindulási állapot: teljes foghiány menthetetlen fogakkal

Páciensünk évek óta küzdött fogászati problémákkal. Állcsontjában csupán néhány fog maradt, és ezeknek állapota sem tette lehetővé megtartásukat. A teljes foghiány miatt a rágás nehézkes volt, a mosolyát pedig évek óta rejtegette. Az állapotfelmérés során panoráma röntgen és 3D CT-felvétel készült, hogy pontos képet kapjunk a csontállományról a tervezéshez.

A vizsgálatok megerősítették, hogy a meglévő fogat el kell távolítani, de a csont állapota megfelelő az All-on-4 implantációhoz, így csontpótlás nélkül is elvégezhető a beavatkozás. A páciens elhatározta, hogy él a lehetőséggel, és egy életminőség-javító, véglegesen rögzített fogpótlást szeretne, a kivehető protézis minden hátránya nélkül.

Kezdő állapot: teljes foghiány menthetetlen fogakkal

Foghúzás: az utolsó fogak eltávolítása

Az első lépés a menthetetlen fog szakszerű és fájdalommentes eltávolítása volt. A Royal Dent klinikán alkalmazott Zero Pain technológia segítségével a helyi érzéstelenítés szinte teljesen fájdalommentes: a modern QuickSleeper érzéstelenítő rendszer garantálja, hogy a páciens ne érezzen fájdalmat az injekció beadásakor. Ennek köszönhetően a foghúzás stresszmentesen, félelem nélkül zajlott. A beavatkozás közben folyamatosan ügyeltünk a steril környezetre: a rendelőben minden éjjel UV-fénnyel fertőtlenítjük a felületeket, és speciális levegőfertőtlenítő rendszer gondoskodik a vírus- és baktériummentes levegőről. A fog eltávolítása után előkészítettük az ínyt és a csontot az implantátumok befogadására.

Implantátumok behelyezése All-on-4 technikával

A foghúzást követően, még ugyanabban az ülésben került sor négy fogászati Alpha-Bio implantátum beültetésére a felső állcsontba. Az All-on-4 technológia lényege, hogy mindössze négy implantátummal stabil alapot teremtünk egy teljes fogívnyi pótláshoz. Két implantátum a front régióba, a másik kettő pedig hátul, döntött szögben került beültetésre, hogy kihasználjuk a meglévő csontot és elkerüljük az érzőidegeket. A beavatkozás helyi érzéstelenítésben zajlott. 

A modern digitális tervezésnek köszönhetően a műtét gyors volt és pontos – egy teljes felső fogsor implantációja mindössze körülbelül egy órát vett igénybe. A négy titán műgyökér stabilan a helyére került, ezzel megteremtve az alapot a páciens új mosolyához.

Implantátumok felhelyezéséről röntgen

Azonnal rögzített ideiglenes fogpótlás – új mosoly egyetlen nap alatt

Az All-on-4 technológiának egyik legnagyobb előnye, hogy az implantátumok azonnal terhelhetőek, így nem kell a páciensnek fogak nélkül maradnia a gyógyulási időre.

A modern digitális lenyomatvételi technológiánknak (SIRIOS 3D intraorális szkenner) köszönhetően nem volt szükség hagyományos kanalas lenyomatokra sem, így a lenyomatvétel is gyorsan, kellemetlenség nélkül zajlott. Az így kapott digitális modell alapján házon belüli CAD/CAM rendszeren, német gyártmányú marógéppel azonnal elkészítettük az ideiglenes pótlást is.

Klinikánkon a műtét végén azonnal elkészült és felhelyezésre került egy fix, ideiglenes fogsor (akrilát alapú körhíd), amely esztétikailag már teljes fogsort biztosított. A páciens szó szerint egy nap alatt kapott új fogakat, hiszen a foghúzás és implantáció után már egy rögzített ideiglenes fogpótlással távozott tőlünk. Aznap estétől újra magabiztosan mosolyoghatott és ehetett kedvenc ételeiből, ugyanis az ideiglenes fogak stabilak, nem mozdulnak el, nem okoznak kellemetlenséget a mindennapokban. Fontos kiemelni, hogy ez nem egy kivehető protézis, hanem csavarokkal rögzített ideiglenes körhíd, amely a gyógyulási szakaszban is a helyén marad.

Az implantátumok beültetését követően 3-6 hónap szükséges a csontosodáshoz, azaz hogy a beültetett műgyökerek szilárdan rögzüljenek a környező csontban, így 3 hónap gyógyulási idő következett.

Azonnali ideiglenes fix fogpótlás
Azonnali ideiglenes fogpótlás felülnézetből
Azonnali fix ideiglenes fogpótlás alulnézetből

Végleges kerámia híd – tartós mosoly

Páciensünk esetében a 3 hónapos kontrollvizsgálaton a felvételek és vizsgálatok azt mutatták, hogy az implantátumok sikeresen integrálódtak a csontba, komplikáció nem merült fel. Ez idő alatt a páciens az ideiglenes fogsorral teljes életet élt: visszanyerte rágóképességét, és megszokta új mosolyát, amely működésében szinte megegyezett a természetes fogakkal.

A 3 hónap leteltével megkezdtük a fogpótlás véglegesítését. Lenyomatot vettünk figyelembe véve a páciens egyéni igényeit, mosoly-esztétikai szempontjait (fogak formája, színe, arc karaktere). Ezzel elkezdődött a végleges körhíd elkészítése, amely prémium minőségű anyagokból (cirkónium-kerámia) készült a tartósság és esztétikum érdekében.

A végleges All-on-4 híd gyönyörűen illeszkedik az ínyhez, formája és színe teljesen természetes hatású. A kerámiahíd könnyen tisztítható és rendkívül strapabíró, így megfelelő szájhigiénia mellett akár élethosszig is megőrizheti funkcióját és esztétikumát.

Egy év elteltével a páciensünk új mosolya nemcsak tartósnak bizonyult, de jelentősen megnövelte az életminőségét: magabiztosan eszik, beszél és mosolyog, mintha csak a saját fogai lennének.

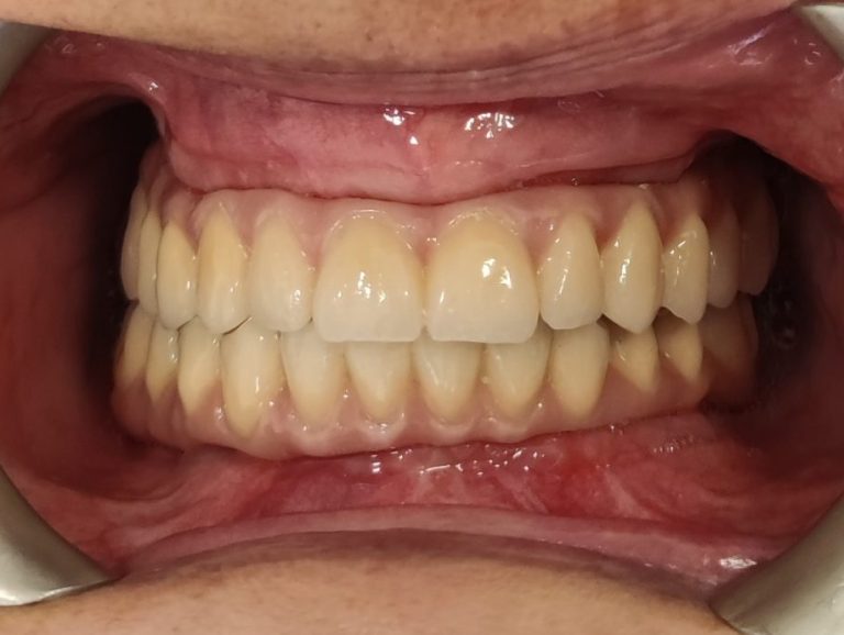
Végleges kerámia all-on-4 fix fogpótlás 3 hónapos kontroll után
Végleges kerámia all-on-4 fix fogpótlás 3 hónapos kontroll után
Végleges kerámia all-on-4 fogpótlás 1 év elteltével
Végleges kerámia all-on-4 fogpótlás 1 év elteltével

Rögzített fogpótlás vs. kivehető protézis – miért jobb az All-on-4?

Sokan nincsenek tisztában azzal, miben különbözik egy implantátumokra rögzített teljes fogpótlás (pl. All-on-4) a hagyományos kivehető protézisektől, vagy akár az implantátumokkal stabilizált, de kivehető műfogsoroktól.

A fő különbség az, hogy az All-on-4 megoldás fixen rögzített, nem kell naponta ki-be tenni. Ezzel szemben például a stéges vagy patentos műfogsorok ugyan implantátumokhoz kapcsolódnak, mégis minden nap ki kell őket venni tisztításkor, ami macerás és higiéniai szempontból sem ideális.

A kivehető pótlásoknál a rendszeres ki-be helyezés kellemetlenséget okozhat, és idővel a stabilitásuk is csökkenhet. Az All-on-4 rögzített körhíd ezzel szemben olyan stabil, mintha eredeti fogak lennének, nem mozdul el evés vagy beszéd közben sem. Tisztítása is egyszerű: gyakorlatilag ugyanúgy kell ápolni, mint a természetes fogakat. A rögzített implantációs fogsor kényelmesebb, magabiztosabb használatot biztosít és hosszú távon kevesebb karbantartást igényel.

Bár az All-on-4 kezdeti költsége magasabb lehet, hosszú távon kevesebb pótlást és igazítást igényel, mint a kivehető megoldások, így megtérülő befektetés az életminőségbe.

Miért érdemes a Royal Dentet választani? – Technológia és szakértelem a 8. kerületben

A Royal Dent budapesti (VIII. kerületi) rendelője nemcsak kiváló szakemberekkel büszkélkedhet, hanem a legmodernebb technológiai háttérrel is, ami biztosítja a gyors, pontos és kényelmes kezeléseket. Nálunk az első konzultációtól kezdve digitális diagnosztika segíti a tervezést. A helyszínen rendelkezésünkre áll a panoráma röntgen és a 3D CBCT, így azonnal átlátjuk a páciens esetleges problémáit, nem kell más helyszínre menni vizsgálatokra. Az Straumann-féle Sirios 3D intraorális szkennerrel történő lenyomatvétel teljesen kiváltja a hagyományos lenyomatokat, így nincs többé kellemetlen mintavétel. A digitális lenyomat alapján klinikánon CAD/CAM technológiával akár egyetlen nap alatt elkészülhet az ideiglenes vagy akár a végleges fogpótlás.

Ha Ön is hasonló problémákkal küzd vagy szeretne többet megtudni a fix fogpótlások lehetőségeiről, bátran keressen fel minket a Corvin-negyedben található rendelőnkben. Új mosolyát modern környezetben, tapasztalt szakértők keze által nyerheti vissza gyorsan, fájdalommentesen és akár élethosszig.

hu_HUHU